HOME ≫ 診療内容 ≫
診療内容Medical content
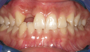
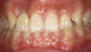
インプラントとは?
失ってしまった自分の歯の代わりに、人工の歯根を顎の骨に埋め込み、その上に人工の歯を作製して噛み合わせを回復する治療法です。
インプラントは、噛む力や耐久性が天然の歯に近く、機能と美しさから第二の永久歯と言われています。
治療前にX線(CT)を撮り、全ての歯の状態を確認しながら治療を『(公社)日本口腔インプラント学会』の指導医が担当します。
インプラントの長所と短所
長所
- 噛み合わせを支える歯が元のように増えて周りの歯に負担がかからないので残っている歯の寿命を延ばす
- 残っている健康な歯を削らなくて済む
- 噛む力は天然歯とほぼ同じ
- 機能的にも精神的にも天然歯とほぼ同じような充実感が得られる
短所
- 顎の骨や歯肉に対しての手術が必要
- 噛む力はほとんど同じだが感受性は1/10
- ごくまれにアレルギーが起こる
- 硬いものを噛みすぎたり、異常習癖(噛み癖や歯ぎしりなど)がある人はインプラントを支えている骨が壊れることがある
インプラントの先端技術
OAMインプラントシステム
『OAMインプラントシステム』は、骨が少ない患者様でも、骨移植を伴うような骨造成をすることなくインプラントを埋められる方法です。
OAMインプラントシステム 詳細はこちら
ピエゾ サージェリー(サージボーン)
インプラント治療では顎の骨が著しく少ない患者様の場合、骨移植などの対処法を施すケースが多々あります。
骨の移植手術をおこなうことで 骨量を増やし、インプラント治療を可能にしますが、治療が長期化したり大がかりな手術になる等の欠点がありました。
骨を切削する処置の場合、通常は専用のドリルを使用いたしますが、ドリル切削では、振動や音による不快感を患者様に与える等の欠点があります。
それらの問題を解決したのがピエゾ サージェリー(サージボーン)です。
切削部分の長さ・深さを正確に調整でき、精密な骨切削をおこなうことができます。
また、超音波振動により、神経や粘膜、歯肉などの軟組織に損傷を与えず、安全に骨切削をおこなうことが可能になります。
ピエゾ サージェリー(サージボーン)の導入により、骨を対象とする処置の安全性を劇的に高めます。
ピエゾ サージェリー(サージボーン)の特徴
- 振動や音による不快感を患者様に与えない
- 精密で安全な骨切削が可能
- 骨切削用のドリルに比べ、軟組織へのダメージが少ない
ホワイトニング
ホワイトニングは1989年にアメリカで実用化された技術で、ホワイトニング剤を歯の表面に塗り、光などを当てることによって活性化、歯の表面を傷つけることなく歯の中にある色素を分解して歯の明るさを上げて白くしていきます。
当院はホワイトニング専門サロン『ティースアート』の広島店です。
『ティースアート』はホワイトニングの第一人者 Dr.椿 により運営されています。
ブライトホワイト
アメリカ発、NASAの科学者が開発したホワイトニングの新技術です。
1回約1時間の施術でカラーガイド8~10段階くらい歯を白くすることができます。
上下20本 1回 60,000円(税込 66,000円)
ルマホワイトニング
徐々に白くしていくベーシックなホワイトニングです。
1回の施術でカラーガイド1~2段階くらい歯を白くすることができます。
上下12本 1回 10,000円(税込 11,000円)
先端歯科医療
あなたにやさしい先進歯科治療を
CTはお口の中を立体的な画像で撮影するX線コンピューター断層装置です。当院はこの最新医療機器を導入し、より安全で確実な治療に役立てています。
より良いインプラント治療をお考えの方へ
当院ではSimPlant(シムプラント:インプラント術前シミュレーションソフト)を活用し、インプラント治療を実施しています。
SimPlant(シムプラント)はヨーロッパで開発された、世界61ヶ国のドクターが使用している先進のインプラント術前シミュレーションソフトです。
当院では安全性を第一に考え、SimPlantを活用してより安全なインプラント治療をおこなっています。
診査・診断の重要性
インプラント治療を適切におこなうためには、あごの骨の状態を詳しく調べることが重要です。
そこで、治療前にCT撮影をおこなうようにお願いしています。
なぜCT撮影が必要なのでしょうか?
歯科医院でよくおこなうX線撮影は、歯の様子を見たり虫歯の治療をするにはとても役に立ちます。
一方、インプラント治療においては、あごの骨状態を調べることが重要となります。
骨の硬さや形、神経の位置は一人一人異なります。
CTで撮影した画像からは、あごの骨の形や硬さが分かるだけでなく、鼻の病気や口腔内部の炎症なども事前に調べることができます。
CT画像はどう使われるのですか?
当院では、CT撮影後、コンピューター上でSimPlant(シムプラント)を使用し、リアルな3D画像であごの骨の状態を見ながら、診査、診断、治療計画をおこないます。
- あごの骨量は十分か
- 歯根の正確な位置の確認
- 神経の位置の確認
これらの情報に基づき適切なインプラント治療を3Dで計画します。
安全と予知性
SimPlant(シムプラント)によるより的確な治療計画と患者様毎に作成されたSurgiGuide(サージガイド)を使用した場合、インプラントを治療計画通りの位置に、よりスムーズに、より精確に埋入することができます。
オペの時間の短縮や予知性の高い治療で危険性や負担を軽減します。
口腔内スキャナー
当院では、インプラントの被せもの等の歯型を取る際に、口腔内スキャナーを使用します。
口腔内スキャナーは、口の中を小型カメラでスキャンしデジタル化します。
光学印象とも呼ばれ、口腔内の細部まで精密に捉えることができます。
レーザー照射器
当院では、歯周病、疼痛緩和、痛みの少ない切開や止血に使用できるダイオードレーザーを導入しています。
審美歯科
審美歯科とは?
審美歯科とは、より良く歯の形や色を整える治療法です。
治療の前提としては、虫歯や歯周病の治療をしっかり行い、その上で、歯の形や色を整えることとなります。
具体的には金属の詰め物を自然な歯の色の詰め物にしたり、薄い付け爪のようなセラミックを歯の表面に貼り付けて短期間で歯の隙間をなくしたり、歯の形をキレイにするものです。
オールセラミック
金属の代わりに特殊な強化セラミックを使用する最先端の治療法です。
金属を使用しないため、光の透過も自然でもっとも天然歯に近いといえます。
大きく口を開けて笑った時などに見える歯の裏側もすべて白くなります。
また、生態親和性にも大変優れています。
もっとも天然歯に近い人工の歯です。
- 天然歯に近い自然な透明感がある
- 生体親和性に優れている
- 歯茎に黒ずみが出ない
- 裏側まですべて白い
ラミネートベニヤ
歯の表面をわずかに削りその部分に特殊な技術で作製した薄いセラミックを貼り合わせる方法です。
強度的な問題で患者様の噛み合わせの状態により、施術できない場合もありますが、歯の負担が軽い点と治療が短くて済むという点では優れた治療法といえます。
ラミネートベニヤ法をご存知でしたか?
- 他の差し歯に比べ来院回数が少なくて済む
- 歯への負担が少ない
- 金属は一切使用してないので、生態親和性にも優れている
- 噛み合わせの状態により適応できない症例もある
セラミックインレー
セラミック特有の透明感があるため、自然な色調が再現できます。
また、唾液の吸収がなく変色や口臭の心配もありません。
セラミックインレーをご存知ですか?
- 天然歯に近い自然な透明感がある
- 生態親和性に優れている
- 歯茎に黒ずみが出ない
- 唾液の吸収がないため、変色や口臭の心配がない
歯の事でお悩みはありませんか?
- 歯並びが気になっている
- 歯の色が気になっている
- 歯と歯の隙間が気になっている
- 笑った時に見える銀歯が気になっている
- 口臭が気になっている
当院では、患者様からの歯についてのお悩みをスタッフ全員が自分の事として親身にお答えさせていただきます。
何かお悩みがございましたら、些細な事でもお気軽にスタッフまでご相談ください。
お口の中のプロとして患者様に一番適切な対処法をご紹介させていただきます。
矯正歯科
歯を抜かなくてよい床矯正
当院では歯を抜かなくてよい床矯正(しょうきょうせい)を行っています。
床矯正は、取り外しの出来る装置を口腔内に装着し、あごを拡げて歯を並べる矯正方法です。
保存的矯正治療を基本としています。
装置は主に夜のみ装着します。
床矯正のメリット
- 夜のみ装着
- 痛みが少ない
- 子どもの永久歯を抜かない
- どの年齢層の方でも治療が可能
- 安価で治療することが可能
歯並びが悪いと起こりやすい障害
むし歯や歯肉の病気になり易い
乱ぐい歯や八重歯のように歯が重なり合っていたり、噛み合わない歯がある場合、食べ物のカスが溜まり易く、また、歯磨きもし難いため、むし歯や歯肉の病気になり易くなります。
悪い歯並びのデメリット
正しくはっきりした発音がしづらい
ひどい出っ歯や上下の歯が嚙み合わない時やうけ口などの場合、正しい発音ができず、 特に電話での会話や外国語を話す時は、相手に正しい意味が通じないことがあります。
顎の骨の成長を妨げる
正しい顎の発育に影響を及ぼし、上下の顎の関係が悪くなったり、左右が対象で なくなったりする場合があります。
物を噛む能率が低くなる
歯並びが悪いと物を噛む能率が低下し、胃や腸などに少なくとも好ましくない影響を与え、 全身の健康状態も悪くなることが考えられます。
その他の影響
外傷を受けやすい
顎の関節や口の周りの筋肉に影響を与え、噛み合わせの病気(咬合病)になりやすい。
将来、入れ歯やブリッジなどを入れる場合、入れ難いなどの障害が考えられます。
心理的な影響を与える
悪い歯並びを気にするため、子ども時代から友だちとの付き合いにも消極的になる傾向があります。
大きくなるにつれて、自分の容貌上の劣等感は一層強くなり、社会や人間関係に悪影響を 及ぼす結果となることが少なくありません。












